Trächtigkeit

VERPAARUNG Duke und Audra

TRÄCHTIGKEITS-KALENDER AUDRA

LäufigKeit

Do, 07.08.2025 – Erster Tag mit Blutung

Erste drei Tage Blutung wird stärker

Do, 13.08.2025 – Erster Progesteron-Test

Wert niedrig

Fr, 15.08.2024 - Zweiter ProgesteronTest

Wert weiter niedrig

Mo, 18.08.2024 -Dritter ProgesteronTest

Wert ist höher

Die, 19.08.2024 -Vierter ProgesteronTest

Wert ist sehr hoch, Audra muss heute gedeckt werden

Decken - 1. Woche (bis zum 7. Tag)

Die, 19.08.2025 – Mo, 25.08.25

die, 19.08.2025 – Erster Deckakt

Erster Decktag: 

Am Dienstag Abend um 20:05 Uhr wurde Audra von Duke das erste Mal gedeckt. Sie haben dabei mindestens 30 Minuten gehangen. Am Ende haben sie sich hingelegt.

Ihre volle Befruchtungsfähigkeit erlangen die Spermien erst nach der 5 bis 8 Stunden dauernden Wanderung durch den Uterus.

Mittwoch, 20.08.2025 – Zweiter Deckakt

Nachdecken: Mittwoch – Abend – 19:17 Uhr –  23 h nach dem ersten Decken wurde Audra von Duke ein zweites Mal gedeckt.

Nach der Deckung wandern die etwa eine Woche im weiblichen Geschlechtstrakt lebensfähigen Spermien durch den Muttermund und die Uterushöhle aufwärts.

Do, 21.08.2025 bis Mo 25.08.25

Das Sperma erreicht die Eileiter, in denen sich reife Eizellen befinden. Es erfolgt die Befruchtung der Eizellen (in den Eileitern)

Danach beginnt die Entwicklung der befruchteten Eizellen.

so,24.08.2025 bis Mo,25.08.2025

Die befruchteten Eizellen wandern in den Gebärmutterhals. Die Zellteilung der Eizellen beginnt.

2. Woche (8. bis 14. Tag)

die, 26.08.2024 bis M0,01.09.2025

Audra macht Urlaub auf Sylt

Am 8. Tag entwickeln sich die Maulbeerkeime zu Blastozysten, Bei diesen wird bereits die Plazenta durch die so genannten Trophektodermzellen angelegt. Ab jetzt spricht man von Embryonen.

 
Im Zeitraum vom 8. – 15. Tag erreichen die Embryonen die Gebärmutter.
 
In dieser Phase wird auch schon der körperliche Kontakt mit der Mutter hergestellt.

MiT, 28.08.2025

Audra genießt das Meer

fr, 29.08.2025

Blaue-Stunde auf Sylt

sa, 30.08.2025 - So, 31.08

3. Woche (15. bis 21. Tag)

Die, 02.09.2025 bis Mo, 08.09.2025

Die Hündin leidet möglicherweise unter morgendlicher Übelkeit aufgrund der hormonellen Umstellung oder Spannungen in der Gebärmutter.

In der dritten Trächtigkeitswoche passt der Hormonhaushalt der Hündin den Körper und seinen Stoffwechsel auf die kommenden Ansprüche ein.

Bei vielen Hündinnen verändert sich nun das Verhalten. Mehr Schlaf, Brechreiz und Veränderungen des Appetits sind möglicherweise zu beobachten. Viele Hündinnen werden jetzt besonders anhänglich

mi, 03.09.2025 bis do, 04.09.2025

16. bis 17. Tag Wanderung in die Gebärmutterhörner.

In der Gebärmutter liegen die Embryonen für ca. 5 bis 7 Tage frei. Danach verteilen sie sich in den Gebärmutterhörnern, die man auch Implantationskammern nennt

fr, 05.09.2025 bis , So 07.09.2025

18. bis 20 Tag – Einnisten  in die Gebärmutter

Am 19. Tag setzen sich die Keimbläschen (sog. Blastocyten) in der Gebärmutterwand fest. Diese formen embrionale Bläschen.

mo 08.09.2025

Ab dem 21. Tag sondern viele Hündinnen zähflüssigen, klaren Schleim ab. Das ist das eindeutigste Zeichen, dass der Deckakt geklappt hat.

4. Woche (22. bis 28. Tag)

die, 09.09.2025 bis Mo, 15.09.2025

Ab dem 21. Tag sondern viele Hündinnen zähflüssigen, klaren Schleim ab. Das ist das eindeutigste Zeichen, dass der Deckakt geklappt hat.

ab dem 22. Tag ....

Anstrengende Aktivitäten sind jetzt zu vermeiden. Die Augen und die Nervenstränge im Rückenmark werden gebildet. Die Organbildung beginnt. In dem derzeitigen Zustand sind die Embryonen sehr stark defektgefährdet. Die Entwicklung der Zitzen beginnt.

Die Proteinzufuhr im Futter kann erhöht werden.

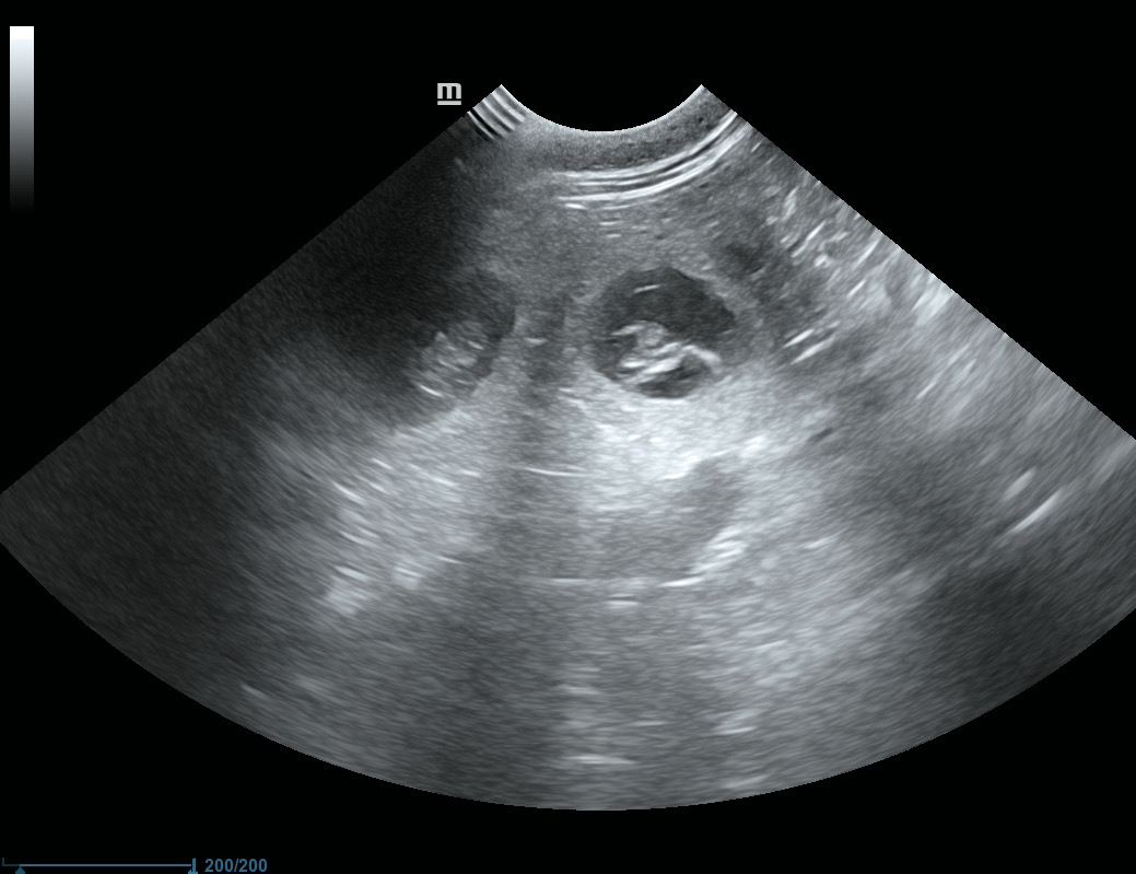
Ab dem 22. Tag sind die Embryonen im Ultraschall sichtbar. Der Herzschlag kann zur Diagnose der Trächtigkeit herangezogen werden. 

UltraSChall-Termin 15.9.2026 / 28.Tag der Trächtigkeit

Am 28. Tag nach dem ersten Decken wurden vom Tierarzt sechs Fruchtanlagen im Ultraschall gesehen.

5. Woche (29. bis 35. Tag)

die, 16.09.2025 bis Mo, 22.09.2025

Die Hündin hört auf, die Beine anzuziehen, weil das Gewicht ansteigt und die Welpen sich drehen. Das Anschwellen der weiblichen Scham wird merkbarer. Bitte achten Sie auf das Gewicht der Hündin und überfüttern Sie nicht. Die Herzschläge sind aufgrund der ansteigenden Flüssigkeit in der Gebärmutter nicht mehr länger als Diagnosemethode nutzbar.

Gegen Ende der fünften Woche bekommt Audra eine zusätzliche Mahlzeit. Ihr Appetit nimmt deutliche zu.

6. Woche (36. bis 42. Tag)

die, 23.09.2025 bis Mo,29.09.2025

Audra’s Bauch wird deutlich runder und ihr Appetit nimmt weiter zu. 

Audra bekommt eine Mahlzeit proteinreicheres Futter.

7. Woche (43. bis 49. Tag)

die, 30.09.2025 bis Mo, 06.10.2025

Siebte Woche der Trächtigkeit: am Dienstag ging es noch einmal an unseren Kraftort nach Maria Laach. Audra genießt es durch den Wald am Lacher See zu spazieren. Zur Sicherheit bleibt Adeen lieber an der Leine, wenn Audra frei läuft: für wilde Rennspiele mit der Schwester ist der Bauch nun zu rund.

8. Woche (49. bis 56. Tag)

die, 07.10.2025 bis Mo, 13.10.2025

Am Sonntag 12.10. erstmals konnte ich die Tritte der Welpen spüren. Audra schläft nun ausgestreckt auf der Seite und das Gesäuge hat deutlich zugenommen. Die Wurfbox ist fertig eingerichtet. Alles ist bereit!

9. Woche (57. bis 63. Tag)

die, 14.10.2025 bis 20.10.2025

Am Montag, den 20.10.2025 hat Audra acht gesunde Welpen in einer problemlosen Geburt das Leben geschenkt:

4 Hündinnen und 4 Rüden